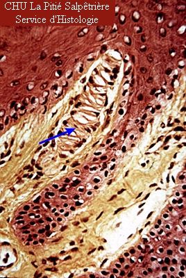
Un corpuscule de Meissner

 

Retour